West House Dental logo
New Patients

Smile Transformations

Real patient results from our Pinner practice.

Close-up clinical view of patient before Aqualyx treatment showing a double chin and excess submental fat, captured as a 'before' shot for fat-dissolving injection treatment.
Close-up clinical view of patient after Aqualyx treatment showing a significant reduction in submental fat and a more contoured chin profile, captured as an 'after' shot for fat-dissolving injection treatment.
Fat Dissolving Injections

Aqualyx Chin Before and After

A young lady underwent two sessions of Aqualyx fat-dissolving injection treatment with Dr Gizem

Close-up clinical view of patient before Aqualyx treatment showing a double chin and excess submental fat, captured as a 'before' shot for fat-dissolving injection treatment.
Close-up clinical view of patient after Aqualyx treatment showing a significant reduction in submental fat and a more contoured chin profile, captured as an 'after' shot for fat-dissolving injection treatment.
Fat Dissolving Injections

Aqualyx Chin Before and After

A young lady underwent two sessions of Aqualyx fat-dissolving injection treatment with Dr Gizem

Close-up clinical view of a patient’s upper front teeth following orthodontic straightening and gum line correction. The teeth show minor unevenness and small chips at the biting edges, captured as a 'before' shot for dental edge bonding treatment.
Close-up clinical view of the patient’s upper front teeth following edge bonding treatment. The biting edges are now perfectly straight, symmetrical, and smooth, complementing the previously corrected gum line and orthodontic alignment.
Gummy Smile

Botox Gummy Smile

Botox for Gummy Smile by Dr Milvia Di Gioia

Close-up clinical view of a patient’s upper front teeth following orthodontic straightening and gum line correction. The teeth show minor unevenness and small chips at the biting edges, captured as a 'before' shot for dental edge bonding treatment.
Close-up clinical view of the patient’s upper front teeth following edge bonding treatment. The biting edges are now perfectly straight, symmetrical, and smooth, complementing the previously corrected gum line and orthodontic alignment.
Whitening

How To Get Rid Of Yellow Teeth

Edge bonding case study undertaken by Dr. Nikita Mehta.

Before teeth whitening and composite bonding
After teeth whitening and composite bonding by Dr Nikita Mehta
Whitening · Bonding

Composite Bonding Teeth Before & After

A composite bonding teeth case study. Whitening and bonding was undertaken by Dr. Nikita Mehta.

Close-up clinical view of a patient’s upper front teeth before whitening and straightening.
Close-up clinical view of the patient’s upper front teeth after whitening and straightening.
Whitening · Bonding

Best Teeth Whitening in Pinner

Edge bonding case study undertaken by Dr. Nikita Mehta.

Close up clinical view of a patient’s mouth showing a gap between the upper front teeth.
Close-up clinical view of the patient’s mouth following composite bonding treatment to close the gap between the upper front teeth.
Whitening · Bonding

Gap Between Front Teeth

Whitening and composite bonding case study undertaken by Dr Nikita Mehta

Close-up clinical view of a patient’s mouth with missing upper center tooth.
Close-up clinical view of the patient’s mouth with missing tooth replaced by an implant.
Implants

Implant and Bone Grafting

An implant and bone grafting case undertaken by Dr. Ernest Lucas-Taulé

Close-up clinical view of a patient’s mouth with missing upper center tooth.
Close-up clinical view of the patient’s mouth with missing tooth replaced by a same-day implant.
Implants

Same Day Implants

Same day implant case study undertaken by Dr. Ernest Lucas-Taulé

Close-up clinical view of a patient’s upper front teeth before orthodontic straightening and whitening.
Close-up clinical view of the patient’s upper front teeth following teeth straightening and whitening treatment.
Invisalign · Whitening

Teeth Whitening With Invisalign

Teeth whitening with Invisalign case study undertaken by Dr Telmo Iceta

Close-up clinical view of a patient’s upper front teeth following orthodontic straightening and gum line correction. The teeth show minor unevenness and small chips at the biting edges, captured as a 'before' shot for dental edge bonding treatment.
Close-up clinical view of the patient’s upper front teeth following edge bonding treatment. The biting edges are now perfectly straight, symmetrical, and smooth, complementing the previously corrected gum line and orthodontic alignment.
Invisalign · Whitening · Bonding

Align, Bleach And Bond (ABB)

An align, bleach and bond (ABB) case study. Tooth alignment with Invisalign undertaken by Dr Telmo Iceta, followed by Tooth Whitening and Edge Bonding wtih Dr Nikita Mehta.

Close-up clinical view of a patient’s upper front teeth following orthodontic straightening and gum line correction. The teeth show minor unevenness and small chips at the biting edges, captured as a 'before' shot for dental edge bonding treatment.
Close-up clinical view of the patient’s upper front teeth following edge bonding treatment. The biting edges are now perfectly straight, symmetrical, and smooth, complementing the previously corrected gum line and orthodontic alignment.
Lip Fillers

Natural Lip Fillers

Natural lip fillers treatment by Dr Milvia Di Gioia

Close-up clinical view of a patient’s upper front teeth following orthodontic straightening and gum line correction. The teeth show minor unevenness and small chips at the biting edges, captured as a 'before' shot for dental edge bonding treatment.
Close-up clinical view of the patient’s upper front teeth following edge bonding treatment. The biting edges are now perfectly straight, symmetrical, and smooth, complementing the previously corrected gum line and orthodontic alignment.
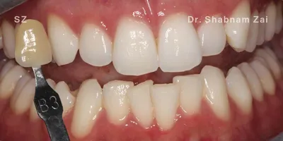
Whitening

B1 Teeth Whitening

Teeth Whitening case study undertaken by Dr Shabnam Zai

Close-up clinical view of a patient’s upper front teeth following orthodontic straightening and gum line correction. The teeth show minor unevenness and small chips at the biting edges, captured as a 'before' shot for dental edge bonding treatment.
Close-up clinical view of the patient’s upper front teeth following edge bonding treatment. The biting edges are now perfectly straight, symmetrical, and smooth, complementing the previously corrected gum line and orthodontic alignment.
Invisalign · Whitening · Bonding

Composite Edge Bonding

Edge bonding case study undertaken by Dr Nikita Mehta

Close-up of a 36-month-old child’s upper front primary teeth showing fractures and jagged edges following a trauma incident
Post-treatment results of pediatric composite bonding on fractured upper front teeth. The arrows indicate the restored, smooth biting edges that have been rebuilt to aid speech and confidence in a toddler, performed by Dr Shabnam Zai
Bonding

Toddler Chipped Tooth Repair

Toddler chipped teeth repair with composite bonding. Case study undertaken by Dr Shabnam Zai.

Close-up cinical view of a patient's upper front teeth showing fractures and jagged edges following a trauma incident.
Close-up clinical view of the patient’s upper front teeth following teeth straightening and composite bonding treatment to restore the fractured edges and improve the shape of the teeth, performed by Dr Telmo Iceta and Dr Nikita Mehta.
Bonding

Bridal Tooth Bonding

Pre-wedding bridal smile makeover. Fixed braces by Dr Telmo Iceta and Dental Bonding by Dr Nikita Mehta

Ready to join our award-winning Pinner practice?

From routine family care to life-changing smile transformations, we are currently welcoming new patients of all ages.

© 2026 West House Dental